|
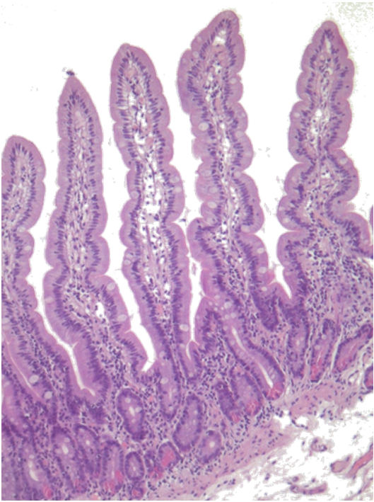
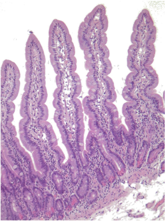
Слизистая оболочка ДПК с сохранением архитектоники, слабой лимфоплазмоцитарной инфильтрацией. Хронический активный дуоденит I степени по R. Whitehead (1990). Окраска гематоксилином и эозином, увел. 100 |
Слизистая оболочка ДПК с укорочением ворсинок, углублением крипт, нарастанием воспалительной инфильтрации. Хронический активный дуоденит II степени по R. Whitehead (1990). Окраска гематоксилином и эозином, увел. 100 |
|
Слизистая оболочка ДПК с выраженным укорочением ворсинок и углубление крипт, выраженной воспалительной инфильтрацией. Хронический активный субатрофический дуоденит II степени по R. Whitehead (1990). Окраска гематоксилином и эозином, увел. 100 |
Хронический активный атрофический дуоденит III степени по R. Whitehead (1990) при целиакии, "Лысая" слизистая оболочка. Лимфо-плазмоцитарная инфильтрация, как собственной пластинки, так и подслизистой основы. Окраска гематоксилином и эозином, увел. 100 |
|
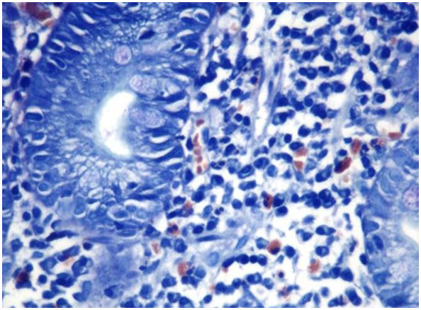
Хронический активный атрофический дуоденит при целиакии. Интраэпителиальная инфильтрация покровного эпителия (более 40 на 100 эпителиоцитов). Окраска гематоксилином и эозином, увел. 400 |
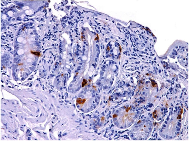
Хронический активный субатрофический дуоденит при целиакии. Экспрессия CD 8. ИГХ, увел. 100 |
|
Хронический активный атрофически-гиперпластический дуоденит с обширным эрозированием при целиакии. Окраска гематоксилином и эозином, увел. 100 |
Хронический атрофический дуоденит при целиакии. Выраженная пролиферативная активность эпителия в сохранных удлиненных криптах. Экспрессия KI-67. ИГХ, увел. 40 |
|
Хронический неактивный атрофически-гиперпластический дуоденит при целиакии. Неравномерное количество нейроэндокринных клеток, продуцирующих серотонин (рис. А) и хромогранин А (рис. Б). Экспрессия серотонина и хромогранина А. ИГХ, докраска ядер гемотоксилином, увел 400 |
|
|
Хронический активный хеликобактерный дуоденит: резкое нарушение архитектоники за счет выраженной диффузной и нодулярной лимфоплазмоцитарной инфильтрации, уменьшение количества бокаловидных клеток. Окраска гематоксилином и эозином, увел. 100 |
Тот же биоптат. Снижение количества бокаловидных клеток, скопление Helicobacter pylori на поверхности биоптата. Окраска по Романовскому-Гимза, увел. 1000, иммерсия. |
|
Хронический активный дуоденит, ассоциированный с вирусным поражением. Выраженное увеличение тучных клеток в строме. Окраска по Романовскому-Гимза, увел. 400 |
Хронический активный хеликобактерный дуоденит, распространенная желудочная метаплазия эпителия. Экспрессия муцина 5. ИГХ, увел. 100 |
|
Хронический активный дуоденит при ревматоидном артрите. На фоне выраженной лимфоплазмоцитарной инфильтрации диффузного характера отмечается экспрессия Ig E в собственной пластинке. ИГХ, увел. 400 |
Хронический атрофически-гиперпластический активный дуоденит при муковисцидозе, Неравномерное количество бокаловидных клеток, гиперпродукция слизи с расширением крипт и формированием слизистых бухт. Окраска гематоксилином и эозином, альциановым синим, увел. 200 |
|
Хронический активный дуоденит при тропической спру: сочетание атрофических и гиперпластических изменений, лимфо-нодулярной гиперплазии и диффузной полиморфноклеточной инфильтрации собственной пластинки. Окраска гематоксилином и эозином, увел. 40 |
Хронический активный дуоденит при длительном употреблении нестероидных противовоспалительных препаратов: диффузная лимфоплазмоцитарная инфильтрация и фиброз собственной пластинки, резкое утолщение и сближение ворсинок с эффектом слипания их, гиперплазия покровного эпителия с формированием псевдопапиллярных структур. Окраска гематоксилином и эозином, альциановым синим, увел. 40. |
|
Хронический активный атрофический эозинофильный дуоденит: резко увеличено количество эозинофильных гранулоцитов в воспалительном инфильтрат эозинофильный. Окраска гематоксилином и эозином, альциановым синим, увел. 200 (рис. А) и 400 (рис. Б) |
|
|
Хронический неактивный атрофический дуоденит (коллагеновое спру): резкое нарушение архитектоники за счет диффузного фиброза собственной пластинки на фоне минимальной клеточной инфильтрации стромы, атрофии и обеднения клеточного состава покровного эпителия. Окраска гематоксилином и эозином (рис. А) и пикрофуксином по методу Ван-Гизона (рис. Б), увел. 200 |
|
- Гражданский кодекс (ГК РФ)
- Жилищный кодекс (ЖК РФ)
- Налоговый кодекс (НК РФ)
- Трудовой кодекс (ТК РФ)
- Уголовный кодекс (УК РФ)
- Бюджетный кодекс (БК РФ)
- Арбитражный процессуальный кодекс
- Конституция РФ
- Земельный кодекс (ЗК РФ)
- Лесной кодекс (ЛК РФ)
- Семейный кодекс (СК РФ)
- Уголовно-исполнительный кодекс
- Уголовно-процессуальный кодекс
- Производственный календарь на 2025 год
- МРОТ 2026
- ФЗ «О банкротстве»
- О защите прав потребителей (ЗОЗПП)
- Об исполнительном производстве
- О персональных данных
- О налогах на имущество физических лиц
- О средствах массовой информации
- Производственный календарь на 2026 год
- Федеральный закон "О полиции" N 3-ФЗ
- Расходы организации ПБУ 10/99
- Минимальный размер оплаты труда (МРОТ)
- Календарь бухгалтера на 2026 год
- Частичная мобилизация: обзор новостей
- Постановление Правительства РФ N 1875





















