а) Больная, 10 лет. Воспаление в слизистой оболочке тела желудка у пациентки с хроническим гастритом Окраска гематоксилином и эозином. Увеличение X 160.
б) Больной, 8 лет. Воспаление в слизистой оболочке антрального отдела желудка у пациентов с хроническим гастритом Окраска гематоксилином и эозином. Увеличение X 120.
в) Больная, 14 лет. Тесное расположение НР на поверхности эпителиоцитов антрального отдела желудка. Окраска альциановым синим. Увеличение X 160.
г) Больной, 12 лет. Биоптат слизистой оболочки антрального отдела желудка. Определяется крупный лимфоидный фолликул со светлым центром. Окраска гематоксилином и эозином. Увеличение X 120.
д) Больной, 15 лет. Фиброз стромы в слизистой оболочке желудка у пациента с хроническим гастритом Окраска пикрофуксином по Ван-Гизону. Увеличение X 120.
е) Больной, 7 лет. Атрофия желез в слизистой оболочке желудка у пациента с хроническим гастритом Окраска гематоксилином и эозином. Увеличение X 120.
ж) Больной, 14 лет. Неполная кишечная метаплазия. Окраска гематоксилином и эозином, альциановым синим. Увеличение X 120 и X 160.
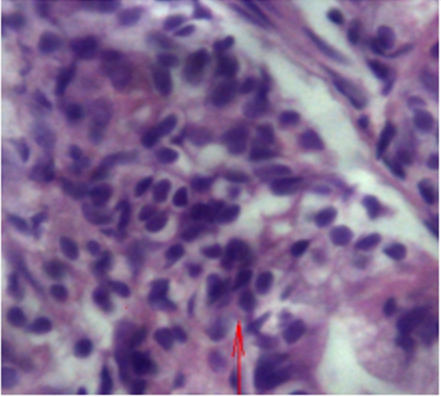
з) Больной, 10 лет Хронический аутоиммунный гастрит с начинающейся деструкцией желез. Увеличение x 400. Окраска гематоксилин-эозин.
- Гражданский кодекс (ГК РФ)
- Жилищный кодекс (ЖК РФ)
- Налоговый кодекс (НК РФ)
- Трудовой кодекс (ТК РФ)
- Уголовный кодекс (УК РФ)
- Бюджетный кодекс (БК РФ)
- Арбитражный процессуальный кодекс
- Конституция РФ
- Земельный кодекс (ЗК РФ)
- Лесной кодекс (ЛК РФ)
- Семейный кодекс (СК РФ)
- Уголовно-исполнительный кодекс
- Уголовно-процессуальный кодекс
- Производственный календарь на 2025 год
- МРОТ 2025
- ФЗ «О банкротстве»
- О защите прав потребителей (ЗОЗПП)
- Об исполнительном производстве
- О персональных данных
- О налогах на имущество физических лиц
- О средствах массовой информации
- Производственный календарь на 2026 год
- Федеральный закон "О полиции" N 3-ФЗ
- Расходы организации ПБУ 10/99
- Минимальный размер оплаты труда (МРОТ)
- Календарь бухгалтера на 2025 год
- Частичная мобилизация: обзор новостей
- Постановление Правительства РФ N 1875







