2.4. Инструментальные диагностические исследования
- Всем пациентам рекомендуется передняя риноскопия - наиболее распространенный метод ориентировочного осмотра полости носа, с помощью которого можно оценить состояние преддверия носа, передних отделов слизистой оболочки носовой полости, нижней и средней носовых раковин, перегородки носа, наличие/отсутствие и характер патологического отделяемого в начальных отделах нижнего, среднего и общего носовых ходов; выявить новообразование, расположенное в передних отделах полости носа, или распространяющееся в эти зоны из более глубоких отделов носа, околоносовых пазух и, частично или полностью, обтурирующее носовую полость [69]
Уровень убедительности рекомендаций C (уровень достоверности доказательств 5)
- Всем пациентам рекомендуется видеориноскопия - выполняется с помощью риноскопа, или назо-фаринго-ларингофиброскопа. Первичный осмотр целесообразно осуществлять без предварительной подготовки полости носа и анестезии. В этом случае можно составить адекватное представление об истинном состоянии слизистой оболочки, характере, количестве [112] и локализации патологически измененных тканей, и других изменениях [70].
Уровень убедительности рекомендаций C (уровень достоверности доказательств 4)
- Компьютерная томография (КТ) носа и ОНП - рекомендуется при подозрении на наличие опухоли носа и околоносовых пазух в режиме послойного сканирования от плоскости твердого неба (нижняя граница сканирования) до верхней границы лобной пазухи (верхняя граница сканирования) с толщиной среза 2 мм. Отличается высокой чувствительностью и специфичностью при диагностике доброкачественных новообразований. С помощью КТ уточняются локализация, распространенность и размеры, структура новообразования, наличие/отсутствие кальцификации, ремоделирования прилежащей костной ткани [71].
Уровень убедительности рекомендаций C (уровень достоверности доказательств 5)
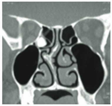
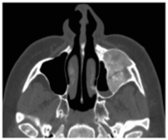
Остеома - КТ позволяет не только выявить наличие остеомы околоносовых пазух, но и определить тип ее строения, установить место исходного роста. Рентгеновская картина остеомы соответствует ее строению. Компактные остеомы - шаровидные, округлые опухоли, имеющие вид плотного, почти бесструктурного новообразования (рисунок 1).
Рис. 1. КТ околоносовых пазух, коронарная (А) и аксиальная (Б) плоскости: Компактная остеома решетчатого лабиринта справа в виде округлого добавочного интенсивного образования с четкими ровными контурами
Губчатые и губчато-компактные остеомы имеют груботрабекулярную структуру, выраженную в определенном порядке - четкие контуры из компактного вещества, переходящие в компактный слой кости (рисунок 2).
Рис. 2. КТ околоносовых пазух в аксиальной плоскости. Губчатая остеома правой лобной пазухи
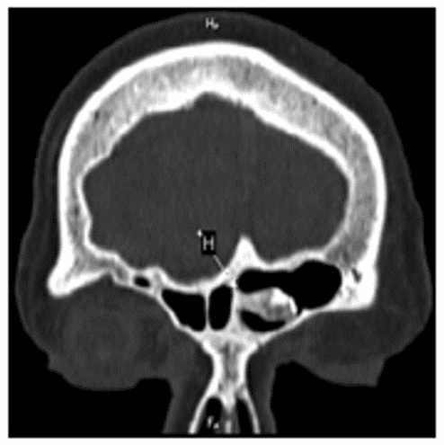
Остеомы смешанного строения имеют различную структуру костной ткани у места их прикрепления к костной стенке и на периферии. В области ножки костная ткань мягкая, а по направлению к периферии ее плотность постепенно возрастает.
По данным компьютерной томографии такие остеомы состоят из двух зон: зоны плотностью 300 - 600 ед. Н, имеющей губчатое строение, и зоны плотностью более 800 ед. Н, имеющей структуру компактного костного вещества. Четкая граница между указанными зонами отмечается не всегда, иногда имеет место постепенное повышение коэффициентов поглощения костной ткани (рисунок 3).
Рис. 3. КТ околоносовых пазух: аксиальная (А) и коронарная плоскость (Б). Остеома левой лобной пазухи смешанного типа, исходящая из межпазушной перегородки. Обозначения: компактное костное вещество (КВ), ножка опухоли (Н). В области ножки присутствует губчатое вещество, а на периферии опухоли - более зрелое компактное костное вещество
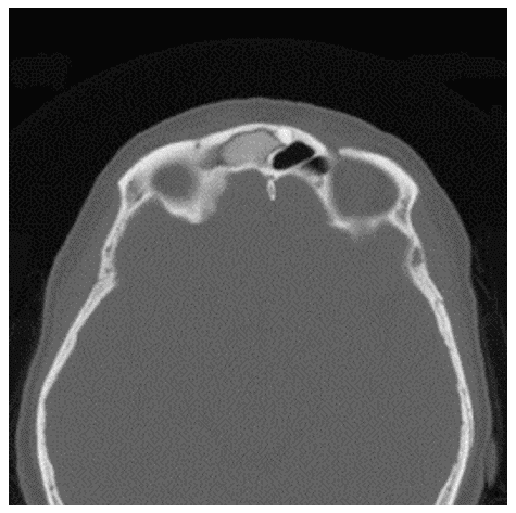
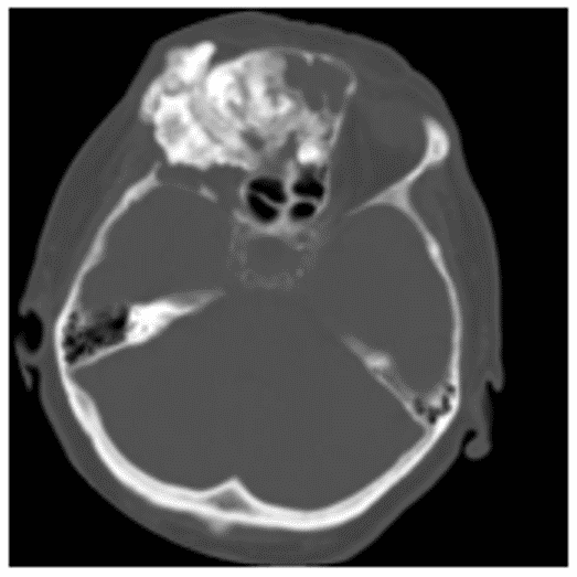
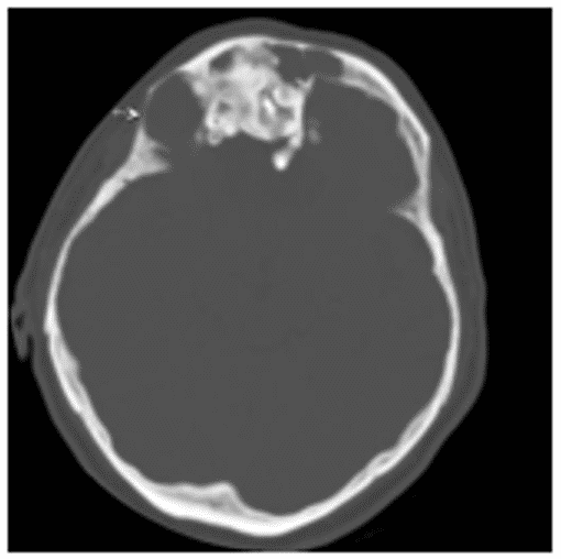
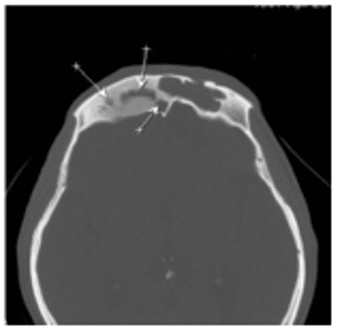
Остеобластома на КТ обычно представлена сочетанием плотной кости и участков затемнения (рисунок 4).
Рис. 4. КТ черепа, аксиальная плоскость. Гигантская остеобластома, распространяющаяся в правую орбиту, полость носа и переднюю черепную ямку
Данные КТ позволяют определить признаки локально агрессивного роста остебластомы, место ее исходного роста, наличие/отсутствие распространения опухоли за пределы околоносовых пазух.
Фиброзная дисплазия на КТ характеризуется наличием относительно однородной, напоминающей матовое стекло, ткани плотностью, примерно, от 300 до 450 ед. Н, что ниже обычных денситометрических значений для спонгиозного слоя кости и соответствует плотности фиброзной ткани (рисунок 5).
Рис. 5. КТ околоносовых пазух, аксиальная плоскость. Фиброзная дисплазия верхнечелюстной (А), лобной (Б) пазух
Очаг фиброзной дисплазии не инкапсулирован и поэтому может распространяться на смежные анатомические структуры. Для кистозной (псевдокистозной) формы фиброзной дисплазии (кистозной остеодистрофии) характерно сочетание зон относительно однородного строения костной ткани с плотностью, типичной для фиброзной ткани (300 - 450 ед. Н), и участков более низкой плотности (иногда приближающихся к жидкостной), довольно четко отграниченных от окружающей ткани. Эти участки псевдокистозной дегенерации располагаются, как правило, бессистемно, иногда в центре зоны, иногда по периферии ее (рисунок 6).
Рис. 6. КТ околоносовых пазух, аксиальная плоскость. Псевдокистозная форма фиброзной дисплазии правой лобной пазухи и передних ячеек решетчатого лабиринта. Участки псевдокистозной дегенерации (стрелки) на фоне склеротически измененной костной ткани.
При фиброзной дисплазии тела клиновидной кости в первую очередь поражается сфеноидальный синус, далее процесс обычно распространяется на большое крыло клиновидной кости, крыловидный отросток, малое крыло, площадку клиновидной кости и другие анатомические структуры. Возникающие при этом деформация и сужение овального и круглого отверстий, нижней глазничной щели, зрительного и видиева каналов (рисунок 7), компрессия расположенных в непосредственной близости черепных нервов и крупных сосудов сопровождаются соответствующей клинической симптоматикой, что является непосредственной причиной визита такого пациента к врачу.
Рис. 7. КТ околоносовых пазух, аксиальная (А) и коронарная (Б) проекции. Фиброзная дисплазия клиновидной кости. Б-патологический процесс распространяется на большое крыло клиновидной кости (стрелка) и крыловидный отросток; асимметрия видиевых каналов - на стороне поражения он резко сужен (стрелки)
При фиброзной дисплазии верхней челюсти патологический процесс сравнительно быстро распространяется на верхнечелюстной синус, альвеолярный, скуловой и лобный отростки. При вовлечении в процесс медиальной стенки верхнечелюстной пазухи может наблюдаться сужение или облитерация носослезного канала, носовых ходов, деформация перегородки носа (рисунок 8).
Рис. 8. КТ околоносовых пазух, аксиальная проекция (А) и реконструкция в коронарной плоскости (Б). Фиброзная дисплазия обеих верхнечелюстных пазух с поражением скуловых отростков (остеоцементодисплазия)
Пораженная верхнечелюстная кость и скуловые отростки имеют неоднородную структуру, на фоне которой вокруг корней зубов определяются обширные высокоплотные зоны (цементикли).
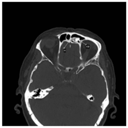
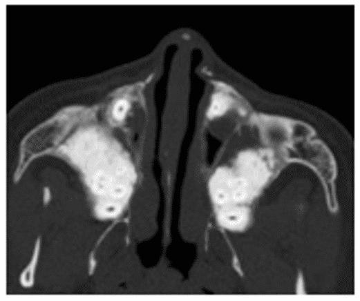
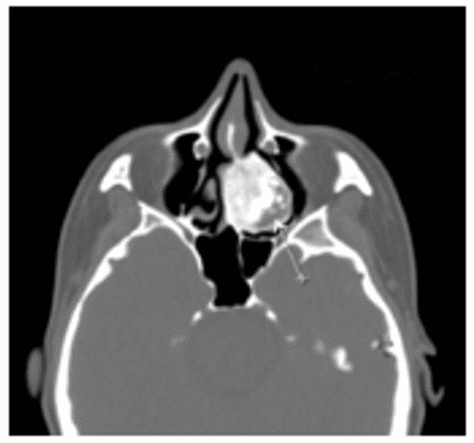
Хондрома на КТ представляется как объемное образование гетерогенной плотности с четко очерченными границами и очагами минерализации (рисунок 9).
Рис. 9. КТ носа и околоносовых пазух, коронарная (А) и аксиальная (Б) плоскости. Хондрома полости носа. Опухоль исходит из носовой перегородки, обтурирует правую половину носа, имеет четкие границы. Определяется смещение медиальной стенки правой верхнечелюстной пазухи, вторичные воспалительные изменения в верхнечелюстной и лобной пазухах справа
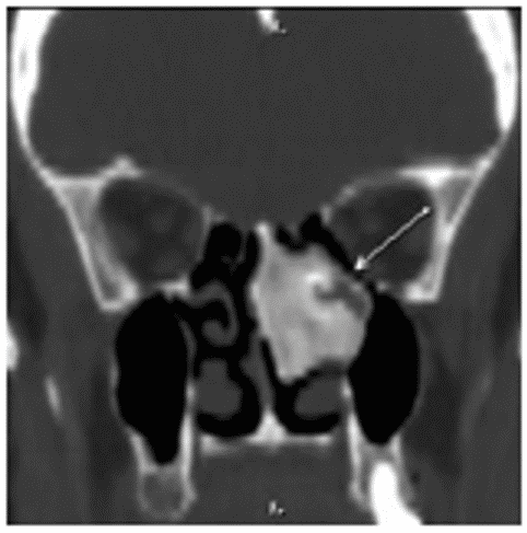
В отличие от хондромы, остеохондрома характеризуется наличием костного вещества неоднородной структуры и плотности в центральных отделах и ткани хрящевой плотности по периферии опухоли (рисунок 10).
Рис. 10. КТ околоносовых пазух, аксиальная плоскость (А) и реконструкция в коронарной плоскости (Б). Остеохондрома перегородки носа с распространением в левую верхнечелюстную пазуху
Комментарий: ввиду высокой вероятности распространения остео- и хондрогенных доброкачественных опухолей носа и ОНП на соседние анатомические зоны - верхнюю челюсть, глазницу, а также в полость черепа, для распознавания/исключения этих состояний и координации лечебной тактики в соответствующих случаях рекомендуется выполнение МРТ, консультация челюстно-лицевого хирурга, офтальмолога, нейрохирурга. В обязательном порядке такое комплексное обследование показано при наличии у пациента изменений со стороны зубочелюстной системы (смещение, расшатывание, выпадение зубов, деформация челюстно-лицевой области), глаз (проптоз и периорбитальная боль, хемоз и диплопия при поражении глазодвигательных мышц, слезотечение), менингеальных и очаговых неврологических симптомов.
- Гражданский кодекс (ГК РФ)
- Жилищный кодекс (ЖК РФ)
- Налоговый кодекс (НК РФ)
- Трудовой кодекс (ТК РФ)
- Уголовный кодекс (УК РФ)
- Бюджетный кодекс (БК РФ)
- Арбитражный процессуальный кодекс
- Конституция РФ
- Земельный кодекс (ЗК РФ)
- Лесной кодекс (ЛК РФ)
- Семейный кодекс (СК РФ)
- Уголовно-исполнительный кодекс
- Уголовно-процессуальный кодекс
- Производственный календарь на 2025 год
- МРОТ 2025
- ФЗ «О банкротстве»
- О защите прав потребителей (ЗОЗПП)
- Об исполнительном производстве
- О персональных данных
- О налогах на имущество физических лиц
- О средствах массовой информации
- Производственный календарь на 2026 год
- Федеральный закон "О полиции" N 3-ФЗ
- Расходы организации ПБУ 10/99
- Минимальный размер оплаты труда (МРОТ)
- Календарь бухгалтера на 2025 год
- Частичная мобилизация: обзор новостей
- Постановление Правительства РФ N 1875


















