|
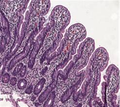
увеличение количества МЭЛ (E.Pilozzi, 2010) |
гиперплазия крипт (E.Pilozzi, 2010) |
|
|
умеренная атрофия (E.Pilozzi, 2010) |
выраженная атрофия (E.Pilozzi, 2010) |
отсутствие ворсинок (E.Pilozzi, 2010) |
Рис. 5 - Гистологическая классификация целиакии Marsh-Oberhuber
Выявление при микроскопическом исследовании 2, 3A-C типов повреждения, является достаточным основанием для диагностики целиакии у серопозитивных пациентов, даже при отсутствии у них клинических проявлений заболевания.
Выявление при световой микроскопии повышенного количества межэпителиальных лимфоцитов (тип 1 по Marsh-Oberhuber) не может служить основанием для диагностики целиакии и требует проведения дополнительных исследований (иммуногистохимии), результаты которых должны расцениваться в совокупности с клинической картиной заболевания, данными серологических тестов и HLA-типирования.
Сложности интерпретации Marsh 1 типа повреждений связаны с тем, что повышение количества МЭЛ может отмечаться при различных патологических состояниях, в частности: при пищевой аллергии, вирусных кишечных инфекциях, лямблиозе, аутоиммунных заболеваниях, воспалительных заболеваниях кишечника и др. Отличительной особенностью лимфоцитоза при целиакии является то, что большинство клеток несут на своей поверхности специфический T-клеточный рецептор
. Эта особенность используется при проведении иммуногистохимического исследования, позволяющего определить преобладающий тип лимфоцитов в СОТК.
В 2012 г. Европейское общество педиатрической гастроэнтерологии, гепатологии и нутрициологии (ESPGHAN) предложило новый алгоритм диагностики целиакии у детей, который позволяет в ряде случаев установить диагноз целиакии без проведения биопсии. У детей с симптомами, характерными для целиакии, при обнаружении титров антител к тканевой трансглутаминазе более 10 норм, положительных антител к эндомизию и наличии гаплотипов HLA DQ2 и/или DQ8 диагноз может быть подтвержден без проведения гастроскопии и биопсии (Приложение Г2). Для бессимптомных пациентов из групп риска предлагается другой алгоритм диагностики, включающий обязательную биопсию (Приложение Г3) [2].
- Гражданский кодекс (ГК РФ)
- Жилищный кодекс (ЖК РФ)
- Налоговый кодекс (НК РФ)
- Трудовой кодекс (ТК РФ)
- Уголовный кодекс (УК РФ)
- Бюджетный кодекс (БК РФ)
- Арбитражный процессуальный кодекс
- Конституция РФ
- Земельный кодекс (ЗК РФ)
- Лесной кодекс (ЛК РФ)
- Семейный кодекс (СК РФ)
- Уголовно-исполнительный кодекс
- Уголовно-процессуальный кодекс
- Производственный календарь на 2025 год
- МРОТ 2026
- ФЗ «О банкротстве»
- О защите прав потребителей (ЗОЗПП)
- Об исполнительном производстве
- О персональных данных
- О налогах на имущество физических лиц
- О средствах массовой информации
- Производственный календарь на 2026 год
- Федеральный закон "О полиции" N 3-ФЗ
- Расходы организации ПБУ 10/99
- Минимальный размер оплаты труда (МРОТ)
- Календарь бухгалтера на 2025 год
- Частичная мобилизация: обзор новостей
- Постановление Правительства РФ N 1875





